.CLINICAL CASE.

Rev. Ang. de Ciênc. da Saúde. 2022 Jan – Jun; 3 (1): 17-21

e-ISSN: 2789 - 2832 / p-ISSN: 2789 - 2824  

Equipa Multidisciplinar de Profissionais de Saúde, Docentes e Investigadores Nacionais

 

 Postoperative Covid-19 infection following coronary artery bypass – description of a case

Adnaldo da Silveira Maia * ¹  , Iuri Betuel Gomes António1, Antônio Flávio Sanchez de Almeida1

 

1-    Dante Pazzanese Institute of Cardiology, São Paulo, São Paulo, Brazil. Orcid: 0000-0001-6506-7589

2-    Dante Pazzanese Institute of Cardiology, São Paulo, São Paulo, Brazil. Orcid: 0000-0001-6561-7376

3-    Dante Pazzanese Institute of Cardiology, São Paulo, São Paulo, Brazil

* - Autor correspondente. Email: adsm.ccv@gmail.com

DOI: https://doi.org/10.54283/RACSaude.v3i1.2022.p17-21            

Received: April 2022 / Accepted: June / Published: July 2022


 

ABSTRACT

The Covid-19 pandemic has brought numerous impacts to cardiovascular surgery services, directly affecting the management of patients. We report a case of a 68-year-old patient who underwent coronary artery bypass graft surgery (CABG), who evolved on the 3rd postoperative day with clinical and radiological worsening, requiring mechanical ventilation and returning to the intensive care unit. The diagnosis of Covid-19 infection was performed, being kept in a specific unit for clinical management. On the 12th postoperative day, he evolved with hemodynamic instability and death. Many questions remain about the impact of Covid-19 on cardiovascular patients, and it is essential to understand this relationship and its short- and long-term consequences.

Keywords: Pandemic; Covid-19; Coronary heart disease

 

INTRODUCTION

In December 2019, in the city of Wuhan, Hubei Province, China, an epidemic began that in a few months, became a global pandemic. Infection by (SARS-CoV-2), which causes Covid-19 cases, has a variable spectrum, from asymptomatic to severely symptomatic. The main symptoms are fever, myalgia, headache and dyspnea, where some patients even with mild symptoms may show reduced oxygen saturation levels¹.

In Brazil, preliminary data from the beginning of the pandemic showed a mortality of 4%, where 90% of deaths occurred in patients over 60 years of age, and of these, 51% had cardiovascular disease. The complications of Covid-19 in this group of patients are multifactorial, with numerous presentations, including arrhythmias, myocarditis and shock².

Different observational studies have described the impact of Covid-19 infection in patients undergoing coronary artery bypass graft surgery (CABG) and other associated procedures. Mortality may vary depending on the clinical conditions of the patients analyzed, however, there is high prevalence of complications in this group of individuals, including sepsis, longer mechanical ventilation and renal dysfunction. It should also be noted that in the postoperative context, the diagnosis can be challenging4-6.

Thus, we present a case of a patient with multivessel coronary disease undergoing coronary artery bypass graft surgery, who developed respiratory failure in the postoperative period in the intensive care unit and was diagnosed with Covid-19 pneumonia.

 

Case presentation

    A 68-year-old male patient with a history of systemic arterial hypertension and dyslipidemia was referred to a referral service in cardiovascular surgery for invasive stratification after acute coronary syndrome without ST- segment elevation. Admission electrocardiogram with sinus rhythm, right bundle branch block and left ventricular overload. Preoperative echocardiogram with preserved ejection fraction (65%), without valvular dysfunction. Carotid Doppler without significant stenosis with preserved vertebral flow.

Coronary angiography lesion of 70% in the distal third of the right coronary artery, 70% in the anterior descending artery as well as the circumflex artery. Ventriculography demonstrating preserved contractile force. In addition, the patient had an RT-PCR test for Covid-19 performed using a negative oropharyngeal swab, collected four days before the surgical procedure, as a protocol of our Institution for each patient scheduled for surgery. The patient was not vaccined against Covid-19.

Patient underwent myocardial revascularization surgery, median sternotomy was performed, with cardiopulmonary bypass and intermittent clamping. The surgical team used the left internal mammary artery (LIMA) for the anterior descending artery (LAD), and use of the great saphenous vein for the posterior descending of the right coronary artery (RCA) and the circumflex artery, without intraoperative complications. The CPB and clamping time were 125min and 65min respectively. As hemotherapy support, 12 grams of aminocaproic acid were used, being referred to the ICU.

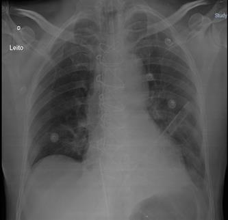
In the intensive care unit, he progressed without the need for vasoactive drugs, being extubated in the first hours after the surgical approach (Figure 1). He was discharged to the infirmary on the 2nd postoperative day, being readmitted to the intensive care unit after 24 hours, with a reduced level of consciousness and desaturation, requiring mechanical ventilatory support. Laboratory tests (Table 1), cultures, radiography (Figure 2) and chest tomography were requested, showing a peripheral ground-glass pattern on CT (Figure 3).

 

Table 1 - Evaluation of complementary exams

 

 

1°DPO

3°DPO

6°DPO

10°DPO

Hemoglobin (g/dL)

10

8,5

8,5

9,0

Hematocrit (%)

28,6

24,9

26,7

27,3

Leukocytes (10³/mm3)

13,25

8,03

10,86

18,38

Neutrophils (10³/mm3)

10,87

7,63

9,01

16,01

Lymphocytes

(10³/mm3)

1,59

0,16

1,30

0,92

Platelets

(10³/mm3)

89

98

215

302

 

 

After discussion with the Hospital's infectology team, it was decided to start corticosteroid therapy, piperacillin/tazobactam associated with teicoplanin empiric and prophylatic enoxaparin with respiratory isolation, due to the hypoxemia and pattern of the imaging tests presented. A new RT-PCR requested at readmission confirmed the diagnostic hypothesis of the Covid-19 assistant team, with the patient being referred to the specific ICU. It is observed that the blood cultures and urocultures  collected were negative.

 

 

 

 

 

 

 

 

 

 

 

 

 

 

 

 

 


            Figure 1 – Chest radiography on the 1st postoperative day with normal aspect

 

 

 

 

 

 

 

 

 

 

 

 

 

 

 

 

 

 


Figure 2 – Chest radiography on the 3rd postoperative day demonstrating bilateral lung opacities

 

 

Figure 3 – Computed Tomography of the Chest axial view on the 3rd postoperative day showing a peripheral ground-glass pattern, especially in the right lung

 

     On the 6th postoperative day, the respiratory pattern worsened. In the ICU, he continued with sedation, without the need for vasoactive drugs, with neuromuscular blockade for better coupling to the mechanical ventilator and subfebrile episodes. On the 12th postoperative day, he evolved with hemodynamic instability requiring vasoactive drugs, worsening renal function and lactate levels, as well as significant abdominal distension, evolving to cardiorespiratory arrest, not returning to spontaneous circulation after measures instituted by the assistant team, following ACLS protocols.

 

DISCUSSION

In March 2020, the WHO officially declared the Covid-19 pandemic. SARS-CoV-2 is similar to SARS-CoV and MERS-CoV, responsible for infections that occurred in China in the early 2000s and in the Middle East in 2012, respectively. However, with greater population dissemination capacity compared to previous viruses1-2.

 Studies published at the beginning of the pandemic revealed that patients infected with Covid-19, who required an intensive care unit for clinical management, had more comorbidities such as systemic arterial hypertension and diabetes mellitus, as well as high mortality rates. Cardiovascular complications also emerged, including myocarditis, arrhythmias, acute coronary syndrome and thromboembolism³.

Similarly, coronary artery disease appears as a factor that corroborates the morbidity of these patients, especially in those who need a surgical approach. Several case series have been published in the literature with the aim of understanding the relationship between Covid-19 infection and CABG surgery. Cerillo et al4, in an analysis of 18 patients undergoing cardiovascular surgery, 7 patients developed atrial fibrillation in the postoperative period and 2 required re-approach due to bleeding. Another 2 patients had worsening renal function and 3 required inotropic support. Surprisingly, there were no deaths in the sample described by the authors.

On the other hand, Fattouch et al5, in a description of 20 cases in Italy, observed the presence of symptoms in 7 patients (35%), with a mean age of 71 years. Most patients had systemic arterial hypertension and a mean EuroScore II of 3. Deaths were described in 3 (16.6%) of the sample. Another point to note refers to the reduced levels of lymphocytes in patients who died, as well as high neutrophil counts. The systemic inflammatory response produced by cardiopulmonary bypass itself can trigger an acute respiratory syndrome in some cases, being a confounding or contributing factor in Covid-19 infections. 

In Brazil, the impact of Covid-19 on patients undergoing coronary artery bypass graft surgery was                                  evaluated by Meija et al6, who demonstrated, in 15 patients operated on with Covid-19, longer mechanical ventilation, pneumonia, reintubation, pulmonary thromboembolism and sepsis . Mortality was evidenced in 7 patients (46.7%).

In the present case we can verify the alterations in the levels of neutrophils, markedly elevated as well as lymphopenia. In line with the changes in the blood count, the markedly rapid clinical evolution and radiological worsening was evident in this report.

 

CONCLUSION

        In summary, Covid-19 infection has an important impact on patients undergoing cardiac surgery. The presence of comorbidities such as systemic arterial hypertension are associated with worse outcomes. In addition, the inflammatory condition produced by the Covid-19 infection associated with the use of cardiopulmonary bypass can act synergistically, as discussed in some studies.

         In this way, the definition and maintenance of preoperative protocols and organizational flows, despite the vaccines already available, will be fundamental for the surgical activity and protection of our patients, especially at a time when new peaks of infection are emerging in the face of need for surgical treatment of patients.

 

Protection of humans and animals

The authors declare that the procedures were followed according to the regulations established by the Clinical Re-search and Ethics Committee and to the 2013 Helsinki Dec-laration of the World Medical Association.

Data confidentiality 

The authors declare having followed the protocols in use at their working center regarding patients’ data publication.

Competing interests

The authors have declared that no competing interests exist.

Funding sources

No subsidies or grants contributed to this work.

Patient consent

Ethical approval was obtained by The local Committee on Ethics and Research.

 

REFERENCES

1.    Muralidar, S; Ambi, SV; Sekaran, S; Krishnan, UM. The emergence of Covid-19 as a global pandemic: Understanding the epidemiology, immune response and potential therapeutic targets of SARS-CoV-2. Biochimie. 2020; 179:85 - 100. doi: https://doi.org/10.1016/j.biochi.2020.09.018

2.    Costa, IBS et al. The Heart and Covid-19: What Cardiologists Need to Know. Arq Bras Cardiol. 2020; 114(5):805-816. doi: https://doi.org/10.36660/abc.20200279

3.    Driggin et al. Cardiovascular Considerations for Patients, Health CareWorkers, and Health Systems During the Covid-19 Pandemic. JACC. 2020: 75 (18): 2352–2371. doi: https://doi.org/10.1016/j.jacc.2020.03.031

4.    Cerillo, AG; Marchionni, N; Bacchi, B; Stefano, P. Covid19 in patients recovering from cardiac surgery: A surprising mild disease course. J Card Surg. 2021; 36:909–912. doi: https://doi.org/10.1111%2Fjocs.15326

5.    Fattouch et al. Cardiac surgery outcomes in patients with coronavirus disease 2019 (Covid-19): A case-series report. J Thorac Cardiovasc Surg, 2020; 163 (3): 1085–1092.e3. doi: https://doi.org/10.1016%2Fj.jtcvs.2020.09.138

6.    Meija et al. The arrival of Covid19 in Brazil and the impact on coronary artery bypass surgery. J Card Surg. 2021;1–8. doi: https://doi.org/10.1111/jocs.15712

 

RACSAúde. Angolan Journal of Health Sciences.www.racsaude.com